تُعد جلطة المخيخ إحدى حالات السكتة الدماغية التي تستهدف جزءًا حيويًا من الدماغ مسؤولًا عن التوازن والحركة الدقيقة. على الرغم من ندرتها، إلا أن فهمها ضروري للتعرف على أعراضها والتدخل المبكر.
في هذا الدليل، نستكشف ماهية جلطة المخيخ، وأسبابها، وعوامل الخطر المرتبطة بها، بالإضافة إلى كيفية تشخيصها وخيارات العلاج المتاحة.
جدول المحتويات
- ما هي جلطة المخيخ؟
- أسباب جلطة المخيخ
- عوامل خطر جلطة المخيخ
- أعراض جلطة المخيخ
- كيفية تشخيص جلطة المخيخ
- مضاعفات جلطة المخيخ
- علاج جلطة المخيخ
ما هي جلطة المخيخ؟
تحدث جلطة المخيخ، المعروفة أيضًا باسم السكتة الدماغية المخيخية، عندما ينقطع تدفق الدم إلى المخيخ بشكل كلي أو جزئي. هذا الانقطاع يمنع وصول الأكسجين والعناصر الغذائية الضرورية إلى خلايا المخيخ، مما يؤدي إلى تلفها.
المخيخ هو جزء مهم في الجزء الخلفي من الدماغ، يلعب دورًا حاسمًا في تنسيق الحركة، الحفاظ على التوازن، والتحكم في الوضعية. يمكن أن تؤثر الجلطة على جانب واحد أو كلا الجانبين من المخيخ.
على الرغم من أهميته، فإن جلطات المخيخ تُعد من الأنواع الأقل شيوعًا للسكتات الدماغية، حيث لا تمثل سوى نسبة صغيرة من إجمالي الحالات.
أسباب جلطة المخيخ
تنتج جلطة المخيخ بشكل رئيسي عن عاملين أساسيين يؤثران على تدفق الدم إلى المخيخ:
- تجلط الدم: غالبًا ما تتكون الجلطات الدموية في منطقة أخرى من الدماغ أو الجسم، ثم تنتقل لتستقر في أحد الشرايين التي تغذي المخيخ، مما يسدها ويعيق تدفق الدم.
- تمزق الأوعية الدموية: في بعض الحالات، قد يتمزق وعاء دموي يغذي المخيخ أو ينفجر، مما يؤدي إلى نزيف داخل الدماغ. هذا النزيف يقلل من تدفق الدم إلى الأنسجة الدماغية ويزيد الضغط على الدماغ، وهو ما يُعرف بالسكتة الدماغية النزفية.
عوامل خطر جلطة المخيخ
تزيد بعض العوامل من خطر الإصابة بجلطة المخيخ. فهم هذه العوامل يمكن أن يساعد في الوقاية والتحكم:
- العمر: يزداد خطر الإصابة مع التقدم في العمر.
- التاريخ العائلي: وجود تاريخ عائلي للإصابة بالسكتات الدماغية يزيد من احتمالية الإصابة.
- نمط الحياة:
- الخمول وقلة النشاط البدني.
- التدخين وتناول الكحول.
- السمنة.
- تعاطي المخدرات.
- الحالات الصحية المزمنة:
- مرض السكري من النوع الثاني.
- ارتفاع ضغط الدم.
- ارتفاع مستويات الكوليسترول في الجسم.
- أمراض القلب المختلفة، مثل تضخم القلب أو النوبات القلبية السابقة.
- أمراض الأوعية الدموية، مثل تصلب الشرايين.
أعراض جلطة المخيخ
قد تكون أعراض جلطة المخيخ غير محددة وتتشابه مع أعراض اضطرابات عصبية وقلبية وعائية أخرى، مما يجعل التشخيص صعبًا في بعض الأحيان. ومع ذلك، هناك علامات رئيسية يجب الانتباه إليها:
- الدوار والدوخة الشديدة: يعاني غالبية المصابين من شعور بالدوار والدوخة، وقد يشعرون بالسقوط باتجاه أحد جانبي الجسم.
- الغثيان والقيء: أكثر من نصف المرضى يواجهون هذه الأعراض.
- صعوبة في التنسيق والحركة: قد تظهر مشكلات في التوازن والمشي.
- أعراض أخرى:
- ازدواج الرؤية.
- صعوبة في الكلام (الرنح الكلامي).
- الخمول أو فقدان الوعي في الحالات الشديدة.
تستمر الأعراض التي تدل على الإصابة بالجلطة من ساعات إلى عدة أيام، ومعرفة مدة ظهورها يمكن أن يساعد الأطباء في التشخيص.
كيفية تشخيص جلطة المخيخ
يتطلب تشخيص جلطة المخيخ دقة وعناية، خاصة وأن المخيخ محمي بعظام الجمجمة، مما قد يعيق رؤيته بوضوح في بعض الفحوصات:
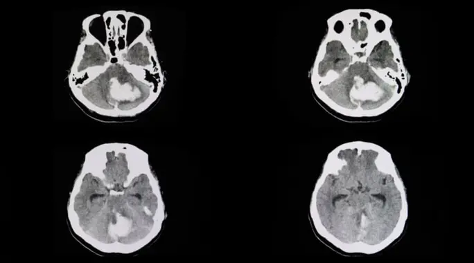
- التصوير المقطعي المحوسب (CT): غالبًا ما لا يكشف التصوير المقطعي المحوسب عن جلطات المخيخ بفعالية بسبب موقع المخيخ المحمي.
- التصوير بالرنين المغناطيسي (MRI): يُعد التصوير بالرنين المغناطيسي الأداة التشخيصية الأكثر فعالية للكشف عن جلطات المخيخ، ويفضل اللجوء إليه في الحالات الطارئة للحصول على صورة واضحة ومفصلة.
مضاعفات جلطة المخيخ
يمكن أن تؤدي جلطة المخيخ إلى مجموعة من المضاعفات التي تؤثر على جودة حياة المريض:
- مشكلات في التنسيق في جانب واحد من الجسم.
- ازدواج الرؤية.
- الرعشة أو الارتعاش اللاإرادي.
- صعوبة مستمرة في الكلام.
- تورم في الدماغ، والذي قد يزيد الضغط داخل الجمجمة.
- استسقاء الدماغ (تراكم السوائل في الدماغ).
علاج جلطة المخيخ
يهدف علاج جلطة المخيخ إلى استعادة تدفق الدم، تقليل التلف الدماغي، ومنع المضاعفات المستقبلية. يشمل العلاج عدة جوانب:
- الفحص الدقيق: يجب إجراء فحص شامل لتحديد أي تمدد في الأوعية الدموية أو عوامل خطر أخرى قد تؤدي إلى سكتات دماغية إضافية.
- إدارة النزيف والتورم: إذا كانت الجلطة نزفية أو تسببت في تورم، يجب التعامل مع النزيف بدقة ومنع تطور استسقاء الدماغ.
- المتابعة الطبية المستمرة: يحتاج المرضى إلى مراجعات طبية منتظمة بعد الإصابة، حتى لو كانت الأعراض خفيفة، لضمان التعافي ومراقبة أي تغييرات.
- إعادة التأهيل: التعافي من جلطة المخيخ يستغرق وقتًا وجهدًا. غالبًا ما يتضمن العلاج الطبيعي لمساعدة المرضى على استعادة قدرتهم على القيام بالأنشطة اليومية مثل الكلام والمشي وتنسيق الحركات.
تُعد جلطة المخيخ حالة دماغية خطيرة تتطلب اهتمامًا فوريًا. فهم الأعراض وعوامل الخطر يمكن أن يساعد في التشخيص المبكر والتدخل الفعال. مع العلاج المناسب وإعادة التأهيل، يمكن للمرضى تحسين فرصهم في التعافي واستعادة جودة حياتهم.








