يعاني الكثيرون من بلاك الأسنان، تلك الطبقة اللزجة التي تتراكم على الأسنان وتُسبب مظهرًا غير جذاب. لا يقتصر تأثير بلاك الأسنان على الجماليات فحسب، بل يمكن أن يؤدي أيضًا إلى مشاكل صحية خطيرة مثل تسوس الأسنان وأمراض اللثة إذا تُرك دون علاج. لحسن الحظ، يمكنك فهم أسباب هذا البلاك والتعامل معه بفعالية.
ستتعرف في هذا المقال على ماهية بلاك الأسنان، أسبابه الرئيسية، بالإضافة إلى مجموعة من الوصفات المنزلية التي تساعد في التخلص منه. كما سنقدم لك نصائح عملية للوقاية من تراكمه والحفاظ على صحة فمك وأسنانك.
محتويات المقال:
- ما هو بلاك الأسنان؟
- أسباب تراكم بلاك الأسنان
- وصفات منزلية فعالة لعلاج بلاك الأسنان
- الوقاية من بلاك الأسنان: مفتاح ابتسامة صحية
- متى يجب زيارة طبيب الأسنان؟
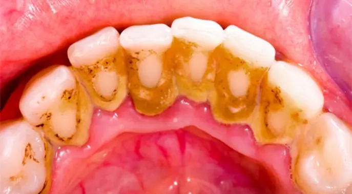
ما هو بلاك الأسنان؟
بلاك الأسنان عبارة عن طبقة شفافة ولزجة تتكون باستمرار على أسطح الأسنان وحول خط اللثة. تتكون هذه الطبقة في الأساس من البكتيريا، بقايا الطعام، واللعاب. تحمل البكتيريا داخل هذه الطبقة القدرة على إنتاج أحماض ومواد كيميائية ضارة جدًا بأسنانك.
إذا لم تُزل طبقة البلاك بانتظام، فإنها تتصلب وتتحول إلى مادة تسمى “الجير” أو “التكلسات السنية”. يصعب إزالة الجير بالفرشاة وحدها، ويتطلب تدخلاً احترافيًا من طبيب الأسنان لإزالته بشكل كامل. تُعد هذه المرحلة أكثر خطورة على صحة أسنانك ولثتك.
أسباب تراكم بلاك الأسنان
يتشكل بلاك الأسنان بشكل أساسي عندما تتراكم بقايا الأطعمة والمشروبات الغنية بالسكريات والنشويات على أسنانك بانتظام. تشمل هذه الأطعمة الحليب، المشروبات الغازية، الكعك، والحلويات، بالإضافة إلى العديد من الأطعمة الأخرى التي نستهلكها يوميًا.
تتغذى البكتيريا الموجودة طبيعيًا في فمك على هذه البقايا السكرية والنشوية. نتيجة لذلك، تنتج البكتيريا أحماضًا قوية. مع مرور الوقت، يمكن لهذه الأحماض أن تُضعف طبقة مينا الأسنان الواقية، مما يؤدي إلى تسوس الأسنان ومشاكل أخرى أعمق في الفم.
وصفات منزلية فعالة لعلاج بلاك الأسنان
يمكنك الحفاظ على أسنان نظيفة ولامعة من خلال العناية المنزلية الجيدة. بالإضافة إلى التنظيف اليومي بالفرشاة والخيط، توجد بعض الوصفات الطبيعية التي قد تساعد في إزالة بلاك الأسنان أو الحد من تراكمه. تذكر دائمًا أن هذه الوصفات لا تغني عن زيارة طبيب الأسنان المنتظمة:
صودا الخبز
استخدم صودا الخبز كبديل لمعجون الأسنان أو أضف كمية صغيرة منها إلى معجونك المعتاد. تُعرف صودا الخبز بخصائصها المضادة للميكروبات، وتُعد طريقة آمنة وفعالة لإزالة بلاك الأسنان دون إتلاف طبقة المينا إذا استخدمت باعتدال.
الغليسرين والألوفيرا
يمكنك تحضير مزيج من الغليسرين، هلام الألوفيرا، زيت الليمون، وصودا الخبز. دلك أسنانك بهذا المزيج يوميًا؛ حيث يُساهم هذا الخليط في التخلص من بلاك الأسنان بفضل خصائصه المطهرة والمنظفة.
زيت السمسم
يُعرف زيت السمسم بفعاليته في تنظيف الأسنان وتقديم نتائج سريعة. أضف ملعقة كبيرة من زيت السمسم إلى نصف كوب من الماء واستخدمه كغسول فموي مرة واحدة يوميًا. يساعد هذا في “سحب” السموم والبكتيريا من الفم.
زيت جوز الهند
تساهم المضمضة بزيت جوز الهند الدافئ يوميًا لمدة 5 إلى 10 دقائق (المعروفة باسم سحب الزيت) في تقليل تراكم البلاك والجير على الأسنان. يتميز زيت جوز الهند بخصائص مضادة للبكتيريا تقلل من الأحمال البكتيرية في الفم.
زيت القرنفل
يحتوي زيت القرنفل على مركبات مطهرة قوية تُساعد في تطهير الفم من الميكروبات التي تُساهم في تكوين طبقة البلاك. بالإضافة إلى ذلك، يُعد زيت القرنفل مسكنًا طبيعيًا قويًا لآلام الأسنان.
محلول الخل والملح
تُعد الغرغرة بمحلول مكون من الخل والملح طريقة طبيعية للمساعدة في تخفيف بلاك الأسنان. يمكنك تكرار هذه العملية كل 2 إلى 3 أيام ولكن احذر من الإفراط في استخدام الخل لأنه حمضي وقد يؤثر على المينا على المدى الطويل.
قشر البرتقال
افرك أسنانك بقشر البرتقال مباشرةً بعد تناوله. يُعرف قشر البرتقال بفعاليته في محاربة الكائنات الدقيقة التي تسبب تكون بلاك الأسنان. يمكنك أيضًا هرس القشر وتطبيقه على أسنانك لفترة قصيرة قبل غسل فمك بالماء.
الوقاية من بلاك الأسنان: مفتاح ابتسامة صحية
تنتج البكتيريا المكونة لبلاك الأسنان عن بقايا الطعام المتراكمة بين أسنانك وعلى أسطحها. لذلك، يُعد اتباع روتين وقائي صارم أمرًا حيويًا للحفاظ على فم خالٍ من البلاك. إليك مجموعة من النصائح الهامة لوقاية أسنانك:
تنظيف الأسنان بانتظام
احرص على تنظيف أسنانك بالفرشاة والمعجون بعد كل وجبة طعام لإزالة البقايا الغذائية بفعالية. الأهم من ذلك، نظف أسنانك جيدًا قبل النوم، لأن فترة الليل الطويلة تُعد فرصة مثالية لتراكم البكتيريا وتكاثرها.
اختيار فرشاة الأسنان المناسبة
اختر دائمًا فرشاة أسنان ذات شعيرات ناعمة لتجنب إلحاق الضرر باللثة أو مينا الأسنان. تذكر أن تستبدل فرشاة الأسنان الخاصة بك كل 3 إلى 4 أشهر كحد أقصى، لأن الشعيرات تتآكل وتصبح غير فعالة في التنظيف مع كثرة الاستخدام.
استخدام السواك
يُعد السواك من السبل الطبيعية والفعالة للوقاية والعناية بالأسنان. يساعد السواك في تنظيف الأسنان من بقايا الطعام، ويحتوي على مواد طبيعية هامة تُساهم في الحد من التسوس وتقوية اللثة.
الخيط الطبي
استخدم الخيط الطبي (خيط الأسنان) يوميًا بعد كل وجبة. يصل الخيط إلى الأماكن الضيقة التي يصعب على فرشاة الأسنان تنظيفها، مما يزيل البلاك وبقايا الطعام المتراكمة بين الأسنان وتحت خط اللثة.
غسول الفم
يمكن أن يساعد استخدام غسول الفم المناسب في الحفاظ على صحة أسنانك ويقلل من تراكم البلاك. ومع ذلك، من الضروري أن تستشير طبيب الأسنان أولًا قبل البدء في استخدام أي نوع من غسولات الفم، فقد لا يناسب جميع الأشخاص أو الحالات.
معجون الأسنان
اختر معجون أسنان يحتوي على الفلورايد ومواد مضادة للبكتيريا. تُساهم هذه المكونات في تقليل فرص تسوس الأسنان وتقوية مينا الأسنان، مما يوفر حماية إضافية ضد بلاك الأسنان.
نظام غذائي صحي
ركز على تناول الخضراوات والفاكهة الطازجة. تحتوي هذه الأطعمة على فيتامينات وعناصر غذائية هامة لأسنانك، مثل التفاح، الكرفس، الجزر، والفلفل الرومي. تعمل هذه الأطعمة أيضًا كـ “فراشي أسنان طبيعية” تساعد في تنظيف الأسنان أثناء المضغ، مما يساهم في جعل أسنانك أكثر صحة وقوة.
متى يجب زيارة طبيب الأسنان؟
بينما تُقدم الطرق المنزلية والوقائية دعمًا كبيرًا لصحة فمك، إلا أنها لا تُغني أبدًا عن الفحوصات الدورية لدى طبيب الأسنان. يجب أن تزور طبيب الأسنان بانتظام، على الأقل مرتين في السنة، لإجراء تنظيف احترافي وإزالة أي جير متراكم لا تستطيع إزالته بنفسك.
لا تتردد في زيارة الطبيب إذا لاحظت أيًا من العلامات التالية: نزيف اللثة، ألم مستمر في الأسنان، حساسية شديدة، أو إذا كان بلاك الأسنان يتصلب ويتحول إلى جير. التشخيص والعلاج المبكر يمنعان تفاقم المشكلات الصحية للفم والأسنان.
يُعد بلاك الأسنان مشكلة شائعة، لكن فهم أسبابه واتخاذ خطوات فعالة للعلاج والوقاية يُمكن أن يُحدث فرقًا كبيرًا في صحة فمك. من خلال تطبيق روتين يومي صارم للعناية بالفم، بما في ذلك التنظيف بالفرشاة والخيط، واختيار نظام غذائي صحي، يمكنك تقليل فرص تراكم البلاك بشكل كبير.
تذكر دائمًا أن العناية المنزلية هي حجر الزاوية، ولكن الفحوصات المنتظمة لدى طبيب الأسنان ضرورية للحفاظ على ابتسامة صحية ومشرقة مدى الحياة. استثمر في صحة أسنانك اليوم لضمان ابتسامة مشرقة غدًا.








