تُعد فحوصات مسحة عنق الرحم الدورية جزءًا حيويًا من الرعاية الصحية الوقائية للمرأة. أحيانًا، قد تكشف هذه الفحوصات عن وجود خلايا غير طبيعية في عنق الرحم. يثير هذا الاكتشاف غالبًا تساؤلات ومخاوف، فهل هذه الخلايا خطيرة؟ وكيف يمكن التعامل معها؟
لا داعي للقلق المفرط؛ فغالبية الخلايا غير الطبيعية لا تكون سرطانية. فهم طبيعة هذه الخلايا، أسباب ظهورها، وكيفية تشخيصها وعلاجها، يمكّنك من اتخاذ قرارات صحية مستنيرة والحفاظ على سلامتك. دعنا نستكشف معًا كل ما يخص هذه الحالة.
جدول المحتويات:
- ما هي الخلايا غير الطبيعية في عنق الرحم؟
- أنواع الخلايا غير الطبيعية في عنق الرحم
- أسباب ظهور الخلايا غير الطبيعية في عنق الرحم
- تشخيص الخلايا غير الطبيعية في عنق الرحم
- خيارات علاج الخلايا غير الطبيعية في عنق الرحم
- المتابعة الضرورية بعد العلاج
- الوقاية من نمو الخلايا غير الطبيعية في عنق الرحم
ما هي الخلايا غير الطبيعية في عنق الرحم؟
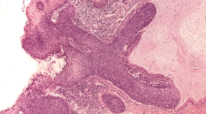
تشير الخلايا غير الطبيعية في عنق الرحم إلى وجود تغيرات في خلايا سطح عنق الرحم. هذه الخلايا لا تكون سرطانية في معظم الحالات، ولكنها تحمل خطر التحول إلى سرطان عنق الرحم إذا لم يتم اكتشافها وعلاجها مبكرًا. تُعرف هذه الحالة أحيانًا باسم الآفات الحرشفية داخل الظهارية (SIL) أو الأورام الظهارية داخل عنق الرحم (CIN).
عادةً ما تكتشف مسحة عنق الرحم هذه التغيرات قبل أن تسبب أي أعراض واضحة. يساهم الكشف المبكر بشكل كبير في تحديد مناطق النمو وإزالتها، مما يقلل بشكل فعال من خطر تطورها إلى خلايا سرطانية.
أنواع الخلايا غير الطبيعية في عنق الرحم
يصنف الأطباء الخلايا غير الطبيعية بناءً على مدى تغير طبيعة هذه الخلايا عن شكلها الطبيعي. يشمل هذا التصنيف ثلاث درجات رئيسية:
الدرجة الأولى: تغيرات طفيفة (CIN 1)
تمثل هذه الدرجة أخف التغيرات في خلايا عنق الرحم. في كثير من الأحيان، تعود هذه الخلايا إلى طبيعتها بشكل تلقائي دون الحاجة إلى أي علاج محدد، ولكن المتابعة الدورية والفحوصات المستمرة ضرورية لضمان عدم تطورها.
الدرجة الثانية: تغيرات متوسطة (CIN 2)
في هذه الدرجة، تكون التغيرات في الخلايا أكثر وضوحًا. يوجد خطر أعلى لتحول هذه الخلايا النامية إلى خلايا سرطانية في المستقبل. لذلك، غالبًا ما يوصي الأطباء ببدء العلاج في هذه المرحلة للوقاية من هذا التحول.
الدرجة الثالثة: تغيرات شديدة (CIN 3 أو السرطان الموضعي)
تُعد هذه الدرجة هي الأكثر شدة بين الخلايا غير السرطانية. بالرغم من أنها لا تُصنف بعد كخلايا سرطانية غازية، إلا أنها تُشير إلى وجود تغيرات ما قبل سرطانية واسعة النطاق. يصبح العلاج ضروريًا وملحًا في هذه المرحلة لمنع تحول الخلايا إلى خلايا سرطانية خبيثة بشكل كامل.
أسباب ظهور الخلايا غير الطبيعية في عنق الرحم
يُعد السبب الرئيسي وراء نمو الخلايا غير الطبيعية في عنق الرحم هو الإصابة بفيروس الورم الحليمي البشري (HPV). ينتقل هذا الفيروس عادةً عن طريق الاتصال الجنسي وهو شائع جدًا. هناك أنواع مختلفة من فيروس HPV، وبعضها يُعتبر عالي الخطورة ومرتبط بشكل مباشر بتطور هذه الخلايا.
بالإضافة إلى فيروس HPV، تزيد بعض العوامل الأخرى من خطر الإصابة بهذا الفيروس أو من تطور الخلايا غير الطبيعية، وتشمل:
- التدخين: يضعف جهاز المناعة ويجعل الجسم أقل قدرة على محاربة فيروس HPV.
- العمر المبكر لممارسة الجنس: يزيد من فرصة التعرض للفيروس.
- ضعف الجهاز المناعي: نتيجة لأمراض مثل فيروس نقص المناعة البشري (HIV)، أو استخدام الأدوية المثبطة للمناعة.
- التاريخ الجنسي: وجود شركاء متعددين يزيد من خطر التعرض لفيروس HPV.
تشخيص الخلايا غير الطبيعية في عنق الرحم
بعد أن تكشف مسحة عنق الرحم عن وجود خلايا غير طبيعية، يتبع الأطباء عدة خطوات تشخيصية إضافية لتحديد طبيعة هذه الخلايا ومدى التغير الحادث:
- فحص فيروس الورم الحليمي البشري (HPV Test): يتم إجراء هذا الفحص لتحديد ما إذا كان فيروس HPV عالي الخطورة موجودًا، وهو مؤشر مهم على خطر تطور الحالة.
- التنظير المهبلي (Colposcopy): يستخدم هذا الإجراء مجهرًا خاصًا (المنظار المهبلي) لفحص عنق الرحم عن كثب. يوفر التنظير المهبلي تفاصيل دقيقة عن الأورام الظهارية ويحدد أماكن نمو الخلايا غير الطبيعية.
- الخزعة (Biopsy): خلال التنظير المهبلي، يمكن أخذ عينة صغيرة من الأنسجة غير الطبيعية. تُفحص هذه العينة تحت المجهر لتأكيد التشخيص وتصنيف الأورام إلى درجات (CIN 1, 2, 3)، مما يوجه خطة العلاج.
خيارات علاج الخلايا غير الطبيعية في عنق الرحم
يعتمد اختيار العلاج على درجة التغيرات الخلوية، عمر المرأة، ورغبتها في الإنجاب مستقبلًا. بشكل عام، تتركز خيارات العلاج على طريقتين رئيسيتين:
1. إزالة الخلايا المتغيرة
تهدف هذه الطرق إلى إزالة الجزء المصاب من عنق الرحم، وتتميز بإمكانية فحص الخلايا المزالة تحت المجهر:
- الاستئصال الجراحي الحلقي الكهربائي (LEEP): يُستخدم سلك رفيع على شكل حلقة يُسخن بالكهرباء لإزالة طبقة رقيقة من الأنسجة غير الطبيعية من عنق الرحم. هذه الطريقة شائعة وفعالة.
- الخزعة المخروطية (Cone Biopsy): تُزال قطعة مخروطية الشكل من عنق الرحم تحتوي على الخلايا غير الطبيعية. غالبًا ما تُستخدم في حالات التغيرات الشديدة أو عندما لا تكون نتائج LEEP واضحة.
- استئصال الرحم بالكامل (Hysterectomy): يُعد هذا الخيار نادرًا ويُفضل عادةً للنساء اللاتي تجاوزن سن الإنجاب، أو في حالات تكرار النمو غير الطبيعي للخلايا بعد عدة محاولات علاجية أخرى، أو عند وجود مخاوف من تطور السرطان بشكل أكبر.
2. تدمير الخلايا المتغيرة
تركز هذه الطرق على تدمير الخلايا غير الطبيعية دون إزالتها جسديًا، وبالتالي لا يمكن فحصها بعد العلاج:
- العلاج بالتبريد (Cryotherapy): تُستخدم أداة باردة جدًا لتجميد الخلايا غير الطبيعية في عنق الرحم، مما يؤدي إلى تدميرها.
- العلاج بالليزر (Laser Therapy): يُسلط شعاع ليزر دقيق وساخن على الخلايا غير الطبيعية لتدميرها بدقة.
- التخثر البارد (Cold Coagulation): بالرغم من اسمه، يستخدم هذا العلاج مسبارًا ساخنًا لوضع حرارة مباشرة على الخلايا غير الطبيعية، مما يؤدي إلى تدميرها.
المتابعة الضرورية بعد العلاج
بعد أي علاج للخلايا غير الطبيعية، تُعد المتابعة الدورية أمرًا حيويًا لضمان نجاح العلاج وعدم تكرار المشكلة. تُجرى غالبًا فحوصات المتابعة بعد حوالي 6 أشهر من العلاج.
إذا أظهرت النتائج أن خطر فيروس الورم الحليمي البشري منخفض، وكانت التغيرات الخلوية المتبقية طفيفة، قد يطلب الطبيب إجراء فحص عنق الرحم التالي بعد 3 سنوات. أما إذا ظل خطر فيروس الورم الحليمي مرتفعًا أو كانت هناك تغيرات غير طبيعية كبيرة، فقد يتطلب الأمر إجراء تنظير مهبلي إضافي أو المزيد من العلاج. في حالات تكرار نمو الخلايا بعد العلاج، قد يُناقش خيار استئصال الرحم في بعض الحالات النادرة.
الوقاية من نمو الخلايا غير الطبيعية في عنق الرحم
يمكن اتخاذ عدة خطوات فعالة لتقليل خطر الإصابة بفيروس الورم الحليمي البشري (HPV) وبالتالي تقليل فرصة تكون الخلايا غير الطبيعية في عنق الرحم:
- اللقاح ضد فيروس الورم الحليمي البشري (HPV Vaccine): يُعد هذا اللقاح وسيلة فعالة جدًا للوقاية من العدوى بأنواع فيروس HPV التي تسبب معظم حالات سرطان عنق الرحم والخلايا غير الطبيعية. يُنصح به عادةً للفتيات والشباب قبل بدء النشاط الجنسي.
- الاستخدام المنتظم للواقي الذكري: يقلل الواقي الذكري من خطر انتقال فيروس HPV، لكنه لا يمنع العدوى بشكل كامل لأنه لا يغطي جميع مناطق الجلد المعرضة للفيروس.
- إجراء مسحة عنق الرحم بشكل دوري: هذه الفحوصات المنتظمة هي خط الدفاع الأول للكشف المبكر عن أي تغيرات خلوية، مما يسمح بالتدخل في الوقت المناسب قبل أن تتطور المشكلة.
- تجنب التدخين: الإقلاع عن التدخين يقوي جهاز المناعة ويساعد الجسم على مقاومة العدوى الفيروسية بشكل أفضل.
فهم الخلايا غير الطبيعية في عنق الرحم والتعامل معها بوعي أمر بالغ الأهمية للحفاظ على صحة المرأة. من خلال الفحوصات الدورية، الوقاية الفعالة، والالتزام بالعلاج والمتابعة عند الحاجة، يمكنك السيطرة على هذه الحالة وتقليل مخاطرها بشكل كبير. تذكري دائمًا أن صحتك تستحق الاهتمام والوقاية هي مفتاح العافية.








